|
Kurilean Bobtail er en russisk naturrace, dens kendetegn er den unikke hale der har form som en pompon og deres godmodige sind. Den knytter stærke bånd til familien og tager aktiv del i familiens daglige gøremål og er nem at have med på tur.
Forfra ligner den en kat, men bag fra minder den om en kanin. Og den hopper lidt lige som en kanin gør.
Karakter:
Kurilean Bobtail er en rolig og velafbalanceret kat med et mild sind, de er meget selskabelige og knytter sig stærkt til familien, de bliver hurtig trygge i nye omgivelser og er derfor nemme at tage med ferie osv. De elsker at være sammen med mennesker og andre dyr. Og er derfor hurtig til at komme og hilse gæster velkommen og finde et skød at ligge i, for selvfølgelig er gæsterne kommet for at besøge dem. Især børn er de ofte meget glade for. Legekammerater kan man jo ikke få for mange af og de er så hyggelige at putte ved.
Af natur er de kloge og nysgerrige, meget lærenemme og kan nemt lære forskellige tricks.
Racen er ikke super aktiv, men de elsker at lege både med deres ynglings legetøj, men også når der findes en drillepind frem. Så bliver selv en gammel kat til killing igen. Deres aktivitetsniveau er meget forskelligt og tilpasset den familie de nu har valgt og husets andre dyr. De trives derfor lige godt om de bor i lejlighed eller i hus med have.
I mange beskrivelser står der de kendt for at være en lidt snakkende race (ikke som siameseren), men hvordan definere man en snakkende kat. Der er enkelte du kan føre lange samtaler med, men det er et fåtal. Dog ser vi de bruger mange lyde når de render og leger med deres ynglings legetøj.
De miaver ikke som andre katte. De lyder ofte som om de pipper eller er hæse, og nogle er der slet ikke lyd på. De er ofte glade for vand og går gerne med i bad eller tager en svømmetur i dammen. Drukner deres legetøj i vandskålen. De bruger gerne poten til at drikke med.
Af natur er de jo flokdyr, hvis man vælger at holde den som enekat, skal man være opmærksom på at katten kræver tid og opmærksomhed, når man er hjemme. De vil være tæt på familien, de er ikke så gode til lukkede døre
Alt i alt er dette den perfekte familie kat!!
Sundhed:
Der er endnu ikke konstateret arvelige sygdomme i racen. Så pt teste der ikke for nogen sygdomme. De fleste har blodtype A. en del har blodtype Ab. Blodtype B kan derfor forekomme. Vi tester for blodtype, for at undgå blodtype B i avlen. Knækkene på halen er ikke forsaget af et enkelt gen, men et kompleks sæt af gener, som er dominante. Dvs. hvis en Kurilean Bobtail bliver parret med normalhalet kat, vil alle killinger få lange haler med knæk og krøller. (Det er forbudt at parre Kurilean Bobtail med andre racer). Ved opdræt har vi ingen indflydelse på halerne De har ingen helbredsproblemer pga den korte hale, som andre racer med korte hale kan have.
Generelt er Kurilean Bobtail en race med et godt helbred med et robust sind.
Vi anbefaler at børste 1 gang ugentlig især i fældnings perioder.
Racen er ikke godkendt i colorpiont, men desværre er der opdrætter i Rusland der arbejder på at få det godkendt, hvor colorpointen fra i deres kuld vides ikke, men en del af de katte de bruger i deres program findes i rigtig mange stamtavler. Vi tester vores avlskatte for colorpoint.
Racens oprindelse: Kurilean Bobtail har eksisteret i isolation på Kurilerne, der ligger mellem den Russiske halvø Kamtjatka og Japanske ø Hokkaido i over 200år. De første sikre beretninger om racen er fra det russiske militær og forskere, som også er dem der har bragt racen med til fastlandet. På de Kuriliske øer lever de i familieflokke, de danner ofte par og hankatten hjælper med at opfostre killingerne. De betegnes som sjældne på ørene, da de kun får killinger en gang om året og det er små kuld på to til tre killinger. På øerne er katten ikke helt så store som de er blevet i opdræt, hunkattene er ca 3-3½ kg og hankattene 5-6 kg. Men på trods af størrelsen er de kendt for at være fantastiske svømmere og gode jæger, de fanger nemt fisk og hare i 5 kg størrelsen. Der er fra lokalbefolkningen beretninger om at de har jagtet bjørne på flugt. De er ikke territorielle
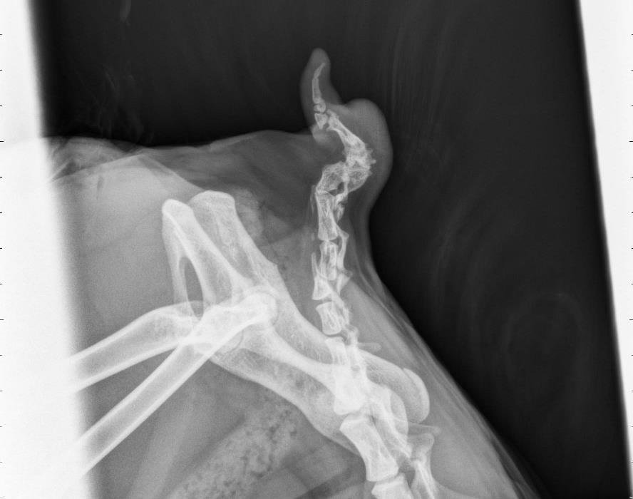
I 1990 blev Kurilean Bobtail for første gang udstillet. Der var en del bekymring fra dommerne, da flere gik ud fra, at kattene bare var en større og tungere udgave af den allerede etablerede race Japansk Bobtail. I dag findes der bevis for, at de to racer er genetisk forskellige. 1995: Blev racen officielt anerkendt i WCF 2002: Blev racen anerkendt i FiFé, både i en langhåret (KBL) og korthåret (KBS) version. 2008: Blev racen godkendt i Tica. Udseende: Kurilean Bobtail er en stærk kat med et vildt udtryk. På trods af det vilde udtryk er den blid som et lam. Halen på en Kurilean Bobtail er fuldstændig unik, der er ikke to der er ens, de er ligesom fingeraftryk på mennesker. I mange beskriveler ser vi de kun har få led i halen, men røntgenbilleder viser at de har lige så mange led i halen som andre katte har, de er bare mindre, ikke mindst hvor der er knæk og krøller, det giver også en forklaring på hvorfor de fleste haler er så bevægelige. Det er flere gener der giver den unikke hale, de er dominante og opdrætter har derfor ingen indflydelse på halerne. Man ser derfor ofte at der er stor forskel på halerne i et kuld. De har ingen helbredsmæssige gener af den korte hale som nogle af de andre stumphalede racer har.
Hannerne vejer typisk omkring 5-7 kg og hunnerne omkring 3-5 kg. Racen er først fuld udviklet når den er 4 år. Fifé standard:
Medium til stor i størrelse, muskuløs med en kompakt kraftfuld krop og kort pompon formet hale
Hovedet: Stor, i form som trapez, afrundede konturer, brede ved kæbebenets basis, let rundede i profil. En stærk veludviklet hage. Næsen er medium lige, bred og uden et bestemt stop. En gradvis hældning fra panden til basen. Ørene: medium størrelse, bred ved basis, let foroverbøjet, afrundet spidser. Og åben ved bunden. Afstanden mellem ørene er lig bredden af det ene øre. Kun KBL må have Lynx lignende tuftser og langt hår ud af ørerne. Øjnene er afrundet bredt placeret og let skrående i farverne orange, til grøn, hvide må også have blå eller være oddeyed. Krop: kompakt, muskuløs kraftig med en solid knoglebygning. Ryggen viser en delikat kurver fra skulder til rumpen. Benene er medium længde stærke og robuste, bagbene er længere end forbenene. Poterne er afrundet. Halen: består af en eller flere knæk eller bøjninger i en hvilken som helst kombination. Den kan være stiv eller bevægelig. Synlig længde uden pels er 3-8 cm. Størrelse og form skal harmonere med kattens overordnede udseende. Fejl: halelængde mellem 8-12cm (katten kan deltage på udstillinger, men det trækker ned i point) Diskvalifikation: Halelængde over 12cm (katten kan ikke udstilles) Pels: Tæt og silkebløde, Racen er både i korthåret (KBS) og langhåret (KBL). Begge har 3 hårlag. KBS har en kort tæt pels med let underuld og kraftige dækhår (guard hair) KBL har en medium lang veludviklet pels med let underuld og dækhår (guard hair) det er ønskeligt med frakke, fuld krave og bukser Farver: Hvid(w), sort(n), blå(a), rød(d), creme€, sort tortie(f), blå tortie(g). Med/uden tabby (21,22,23,24,25). Med/uden varierende mængder af hvidt (01,02,03,09). Med/uden sølv/smoke(s). Med og uden golden(y) |
- Hits: 350183
Jeanette & Knud Erik
kurileanbobtail.dk © Copyright 2009 All Rights Reserved









